Trám răng lấy tủy là một trong những thủ thuật cần phải thực hiện để bảo vệ răng tránh gây nhiễm trùng diện rộng. Vậy khi nào cần tiến hành trám răng lấy tủy? Trám răng lấy tủy bao nhiêu...
Trồng răng Implant là phương pháp nha khoa tân tiến giúp phục hồi được chức năng của một hay một vài chiếc răng đã mất. Tuy nhiên, không phải mọi trường hợp đều được bác sĩ chỉ định thực hiện...
Bạn phát hiện lợi của trẻ xuất hiện các đốm trắng nhỏ trông như nanh sữa? Bạn sợ rằng bé yêu nhà mình có thể quấy khóc, bỏ bú hoặc sốt vì những đốm trắng ấy? Vậy các bậc phụ...
Làm cầu răng sứ nhằm phục hình các răng bị mất, nó có thể thực hiện được hầu hết các vị trí trên cung hàm, đặc biệt là răng cửa rất thích hợp để phục hình bằng phương pháp này....
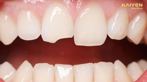
Trám răng mẻ là một trong những giải pháp giải quyết triệt để vấn đề răng cửa hay các răng bị mẻ được áp dụng hiện nay. Nhưng thực sự thì hiệu quả của phương pháp này có tốt không?...
Áp răng xe là một trong những bệnh lý răng miệng khá phổ biến hiện nay. Song không phải ai cũng có đầy đủ kiến thức để phát hiện và điều trị sớm trường hợp này. Vậy áp răng xe...