Viêm tủy răng có mủ là một bệnh lý với mức độ khá nặng và có thể gây ra các biến chứng nguy hiểm. Tuy nhiên vẫn còn nhiều người chưa thực sự quan tâm đến vấn đề này. Để...
Tẩy trắng răng là phương pháp nha khoa thẩm mỹ giúp cải thiện màu sắc của răng trắng sáng hơn. Tuy nhiên, tẩy trắng răng có ảnh hưởng đến men răng hay không là thắc mắc của nhiều khách hàng.Nguyên nhân...
Tình trạng nướu răng bị sưng, đau khi mọc răng khôn diễn ra vô cùng phổ biến ở những người gặp vấn đề về răng khôn mọc lệch, răng khôn bị lợi trùm… Bài viết dưới đây, các bác sĩ...
Theo các chuyên gia của nha khoa KAIYEN việc tiến hành nhổ răng sữa sớm cho con có thể làm phá vỡ cấu trúc hàm nhai. Vậy thì có nên tự nhổ răng sữa cho bé tại nhà không? Đâu...
Hơn 80% người Việt thường gặp phải bệnh lý sưng nướu răng hàm trên, song nếu không nhanh chóng điều trị kịp thời, sưng nướu răng có thể dẫn đến những vấn đề răng miệng nguy hiểm khác. Vậy nguyên...
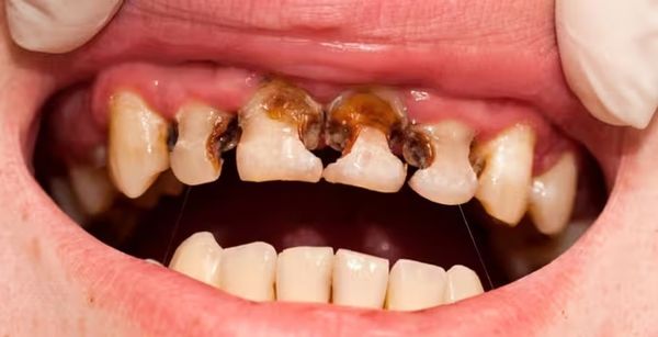
Sâu răng có nguy hiểm không là một câu hỏi thể hiện sự quan tâm của bệnh nhân sâu răng và đang chưa được điều trị sâu răng. Đây là bệnh lý khá phổ biến, chiếm tỉ lệ lớn với...